Paradontitis ist eine chronische, schubweise verlaufende und multifaktorielle Entzündung des Kieferknochens, die in der Bevölkerung sehr weit verbreitet ist. Laut Bundeszahnärztekammer hat unter den 34- bis 44-jährigen Menschen gut die Hälfte eine Paradontitis, bei den über 65-jährigen sind es bereits zwei Drittel. Da diese Erkrankung Auswirkungen auf den gesamten Körper hat und oft mit weiteren Erkrankungen in Verbindung steht, sollte sie unbedingt behandelt werden.

Die Entstehung einer Paradontitis
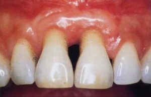
Ausgangspunkt der Paradontitis sind bakterielle Zahnbeläge. Wenn diese nicht regelmäßig entfernt werden, verhärten sie, und es bildet sich Zahnstein. Wird auch dieser nicht entfernt, wandert er langsam in Richtung Zahnwurzel. Es bilden sich Zahnfleischtaschen, das Zahnfleisch kann gerötet und geschwollen sein und lässt sich vom Zahn abklappen. In der Tiefe dieser Paradontaltasche siedeln sich anaerobe Bakterien an, die deutlich aggressiver sind als die aeroben Bakterien. Es beginnt der Abbau des Kieferknochens. Gleichzeitig bilden sich in den Taschen Konkremente, eine Art schwarzer Zahnstein. Mit dem zunehmenden Abbau des Kieferknochens verlieren die Zähne ihren Halt, beginnen zu wackeln und schlimmstenfalls auszufallen.
Symptome und begleitende Erkrankungen
Auch wenn es sich um chronische Entzündungsherde handelt, ist der oben beschriebene Prozess in der Regel nicht schmerzhaft. Das ist deswegen so tückisch, weil damit die Paradontitis oft unbemerkt bleibt. Symptome sind meist nur Zahnfleischbluten, etwas geschwollenes Zahnfleisch und Mundgeruch. Mit der Zeit geht auch das Zahnfleisch zurück, es kommt zu freiliegenden Zahnhälsen.
Da der Mundraum sehr gut durchblutet ist, führt dies dazu, dass die Bakterien über den Blutkreislauf in den ganzen Körper geschwemmt werden. Dies kann ernsthafte Erkrankungen nach sich ziehen, so z. B. Schlaganfälle, Herzinfarkte, Arteriosklerose, Rheuma, Alzheimer und Parkinson oder Diabetes. Auch das Risiko von Frühgeburten wird gesteigert.
Man kann durch Paradontitis nicht nur an Diabetes erkranken, die Zuckerkrankheit erhöht ihrerseits auch das Risiko für Paradontitis. Ebenfalls gesteigert ist das Risiko bei Rauchern und bei Adipositas (extremes Übergewicht). Auch bei Osteoporose kann es zu Abbauprozessen im Kieferknochen kommen. Ein hoher Stresslevel begünstigt durch die reduzierte Immunantwort ebenfalls die Entzündungsprozesse im Zahnhalteapparat.
Paradontitis kann auch als ansteckend betrachtet werden, denn die an dem Prozess beteiligten Bakterien können über den Speichel – z. B. beim Küssen des Partners oder beim Ablecken des Löffels von Kindern – übertragen werden.
Diagnose und Behandlung durch den Zahnarzt
In der Zahnarztpraxis werden mit Hilfe einer Sonde Zahnfleischtaschen ausgemessen. Je nach Tiefe kann das Fortschreiten des Prozesses beurteilt werden. Bis zu 3 mm Tiefe gelten die Taschen noch als unauffällig, bereits bei 6 mm Tiefe liegt eine schwere Paradontits vor. Mit Hilfe einer Röntgenaufnahme oder der strahlungsärmeren digitalen Volumentomographie kann beurteilt werden, inwieweit bereits der Kieferknochen abgebaut ist.
Alternativ kann mit Hilfe des AMMP8-Speicheltests festgestellt werden, ob eine Auflösung des Kollagens im Gange ist. Diese Privatleistung (meist 40-80 €) wird Implantatpatienten zweimal jährlich und Paradontitispatienten mindestens einmal jährlich empfohlen.
Im Anfangsstadium ist der Prozess noch reversibel; sind bereits Nekrosen des Kieferknochens vorhanden, so gelten diese als irreversibel (homöopathisch kann hier evtl. noch Einfluss genommen werden). Von zahnärztlicher Seite müssen die Konkremente und die in den Taschen vorhandenen Bakterien unter Betäubung mechanisch entfernt („saubergekratzt“) werden. Sind auch Implantate vorhanden (so genannte Periimplantitis), ist durch die Schrauben die Entfernung aller Bakterien wesentlich schwieriger.
Abzuraten ist von einer antibiotischen Behandlung. Die Antibiotika können zwar helfen, die Bakterien in den Zahnfleischtaschen zu beseitigen, sie stören aber aber das Gleichgewicht des so genannten Mikrobioms im gesamten Körper, vor allem auch im Darm. Dadurch können z. B. langfristig Darmprobleme entstehen, und auch das Immunsystem wird längerfristig beeinträchtigt.
Zusätzliche alternative Behandlungsansätze
Wie oben gesagt, handelt es sich bei der Paradontitis um ein multifaktorielles Geschehen. Das heißt, es gibt eine Reihe von möglichen Ursachen. Neben den bereits genannten Plaque-Bakterien und dem Zahnstein spielen oft noch weitere Faktoren eine Rolle, so z. B.:
- Mikronährstoffmangel
- Ernährung
- Atmung (Mund- statt Nasenatmung)
- Stress
- systemische Faktoren (Familie, Ahnen, Umfeld)
- psychische Themen
Hier können dann auch andere Therapeuten mit hinzugezogen werden. Während Behandlungen und Diagnostik in der Mundhöhle den Zahnärzten vorbehalten sind, können Heilpraktiker auch die Lebensumstände, Ernährungsgewohnheiten und die Psyche mitbehandeln, ebenso wie die weiteren Erkrankungen, die aus der Paradontitis resultieren.
Empfehlenswert ist eine Messung der Mikronährstoffe wie Vitamine und Mineralstoffe und darauf basierend eine entsprechende Versorgung mit Nahrungsergänzungsmitteln, bis die Defizite aufgefüllt sind. Besonders häufig fehlt es an Vitamin D, Magnesium, Vitamin C und Omega-3-Fettsäuren. Grundsätzlich sollte aber immer eine Messung vor der Substitution stehen.
Bei der Ernährung lohnt es sich, die Ernährungsgewohnheiten genauer zu betrachten. Was wird gegessen, wie häufig isst und trinkt man über den Tag verteilt? Wie ist die Versorgung mit Ballaststoffen, wie viele „leere“ Kohlenhydrate nimmt man zu sich? Wie intensiv wird die Nahrung gekaut?

Gemüse ist reich an Ballaststoffen
Weiterhin lohnt es sich, Stress abzubauen. Dies ist nicht nur im Zuge einer Paradontitis wichtig, sondern insgesamt für ein gut funktionierendes Immunsystem. Auch der Verbrauch von Mikronährstoffen steigt bei Stress, so dass sie für das Immunsystem nicht mehr in ausreichendem Maße zur Verfügung stehen.
Im Hinblick auf das Familiensystem bzw. das Gesamtssystem, in dem man sich bewegt, kann eine (Familien-)Aufstellung sinnvoll sein. Teilweise konnte durch eine solche Aufstellung der Paradontitisbefund deutlich verbessert werden. Auch die psychischen Themen – Angst, Wut, fehlende Abgrenzung, fehlender Halt, mangelnde Balance – sollten angegangen werden, denn wenn diese weiterbestehen, wirkt sich das auch nachteilig auf die Entzündungsprobleme im Mundraum aus. Bei Angstproblematiken ist ein Nachrichtenverzicht dringend anzuraten.
Wie schon gesagt, handelt es sich bei Paradontitis um eine chronische Erkrankung. Das heißt, auch wenn sie behandelt wurde, sollte man regelmäßige Kontrollen vornehmen lassen, denn je nach Lebenssituation kann es immer wieder zu Schüben kommen. Je stabiler die Lebenssituation und die Gesamtgesundheit ist, desto besser sind die Voraussetzungen, diese Entzündungsprozesse in den Griff zu bekommen.



